środa, 15 czerwca 2016

Jak ocenić leczenie kanałowe na zdjęciach rentgenowskich. ?

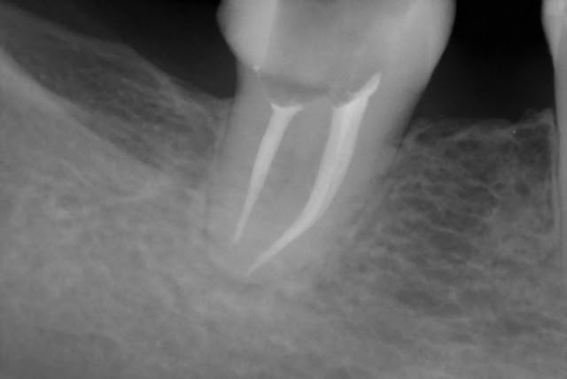
Czasami zastanawiamy się , czy jakiś ząb był leczony kanałowo. Najprościej sprawdzić to , robiąc zdjęcie rentgenowskie. Jeżeli widać na nim białe wypełnienie w korzeniu , taką niteczkę , to już jesteśmy pewni , że takie leczenie było przeprowadzone. Jeżeli ta niteczka , przebiega przez cały korzeń , to mamy potwierdzenie poprawnego wypełnienia kanału. Dodaję parę zdjęć rentgenowskich leczonych przeze mnie pacjentów.
Rafał Korkosz.